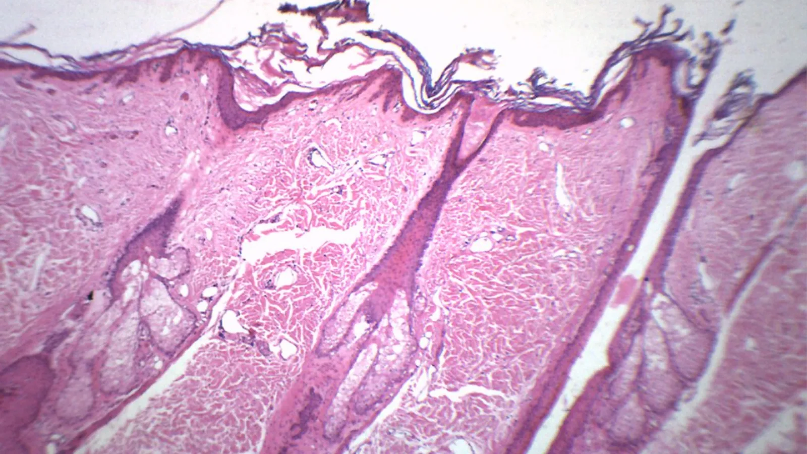
ساختار ساقه مو

ساقه مو، بخش قابل مشاهده و بیرونی مو، نه تنها زیبایی و جلوه ظاهری انسان را شکل می‌دهد، بلکه از نظر بیولوژیکی ساختاری شگفت‌انگیز و پیچیده دارد. برخلاف ریشه مو که در پوست سر قرار دارد و از طریق فولیکول‌ها تغذیه می‌شود، ساقه مو فاقد جریان خون مستقیم است و تمام نیازهای خود را از ریشه دریافت می‌کند. این ویژگی منحصربه‌فرد، نقش مهمی در استحکام، انعطاف‌پذیری و سلامت کلی مو دارد. ساختار ساقه مو از چندین لایه تشکیل شده که هر کدام وظیفه خاصی دارند: کوتیکول، کورتکس و مدولا.

تعامل لایه‌های اصلی ساقه مو با یکدیگر و همچنین تاثیر عوامل محیطی، تغذیه‌ای و شیمیایی، تعیین‌کننده سلامت، استحکام و زیبایی مو است. در این مقاله، به بررسی طرز عملکرد ساختارهای تشکیل‌دهنده ساقه مو، نقش هر لایه در سلامت و رشد مو، و ارتباط آن با مراقبت‌های روزانه و درمان‌های تخصصی خواهیم پرداخت. شناخت دقیق این ساختار، کلید درک مشکلات شایع مو مانند شکنندگی، خشکی و ریزش است و می‌تواند راهنمایی علمی برای انتخاب روش‌های مراقبت و محصولات بهداشتی مناسب باشد.

فهرست مطالب

لایه‌های اصلی ساقه مو

ساقه مو از سه لایه اصلی تشکیل شده است که هر کدام ویژگی‌ها و عملکرد خاص خود را دارند:

ساختار تشکیل دهنده ساقه مو

کوتیکول (Cuticle)

کوتیکول مو لایه بیرونی و شفاف مو است که مانند فلس‌های روی هم قرار گرفته و نقش محافظتی دارد. این لایه مانع نفوذ مواد شیمیایی و آسیب‌های محیطی می‌شود و همچنین با انعکاس نور باعث براق شدن مو می‌شود. آسیب به کوتیکول باعث افزایش تخلخل مو و شکنندگی آن می‌شود. عواملی مانند شانه کردن خشن، حرارت بالای اتو و سشوار و صد البته مواد شیمیایی می‌توانند این لایه را تخریب کنند.

کورتکس (Cortex)

کورتکس مو لایه میانی و اصلی ساقه موست که حدود ۷۵ تا ۹۰ درصد حجم کل مو را تشکیل می‌دهد. این لایه شامل کراتین و ملانین است که به ترتیب مسئول قدرت، کشسانی و رنگ مو هستند. پیوندهای دی‌سولفیدی در کورتکس ساختار مو را تثبیت می‌کنند و آسیب به این پیوندها باعث شکنندگی و از دست دادن انعطاف مو می‌شود.

مدولا (Medulla)

مدولا هسته مرکزی موست که در همه موها وجود ندارد و بیشتر در موهای ضخیم دیده می‌شود. این لایه نقش دقیق و کاملش هنوز به طور کامل شناخته نشده، اما به استحکام و قطر مو کمک می‌کند. موهای نازک اغلب فاقد مدولا هستند.

کراتین؛ پروتئین کلیدی ساقه مو

کراتین پروتئین اصلی تشکیل‌دهنده ساقه مو به شمار می‌رود و مسئول مقاومت، انعطاف‌پذیری و کشش مو تلقی می‌شود. کراتین به شکل فیبرهای محکم در کورتکس قرار گرفته و توسط پیوندهای دی‌سولفیدی به یکدیگر متصل شده‌اند. این پیوندها تعیین‌کننده استحکام و توانایی مو در تحمل فشارهای مکانیکی و حرارتی هستند. تغییرات شیمیایی، گرما یا آسیب‌های مکانیکی می‌توانند این پیوندها را بشکنند و باعث کاهش عدم تقویت ساقه مو شوند.

عوامل تعیین‌کننده ساختار ساقه مو

ساختار ساقه مو تحت تاثیر عوامل ژنتیکی، نژادی و محیطی قرار دارد:

ساختمان ساقه مو

  • ژنتیک و نژاد: شکل فولیکول و قطر مو، درصد کراتین و میزان فر شدن موها عمدتا توسط ژنتیک مشخص می‌شود. موهای آسیایی معمولا ضخیم، دایره‌ای و صاف هستند، موهای قفقازی بیشتر دایره‌ای و متغیر و موهای آفریقایی اغلب خمیده و دارای شکل مقطع بیضوی هستند.
  • عوامل محیطی: آلودگی، نور خورشید، رطوبت و حرارت مستقیم می‌توانند کوتیکول و کورتکس را تخریب کنند.
  • عادات مراقبتی: استفاده مکرر از سشوار، اتوی مو، رنگ و مواد شیمیایی باعث آسیب لایه‌های محافظ ساقه مو می‌شود.

آسیب‌های رایج ساقه مو و دلایل ایجاد آن

ساقه مو به دلیل ساختار پیچیده و حساس خود در معرض انواع آسیب‌ها قرار دارد. آسیب‌های مو نه تنها ظاهر و زیبایی را تحت تاثیر قرار می‌دهند، بلکه می‌توانند باعث شکنندگی، کاهش کشش و حتی ریزش جزئی مو شوند. شناخت دقیق انواع آسیب‌ها و دلایل آن‌ها به ما کمک می‌کند تا مراقبت‌های مو را بهینه و از تخریب بیشتر جلوگیری کنیم.

شکنندگی و موخوره

شکنندگی مو و ایجاد موخوره یکی از رایج‌ترین مشکلات ساقه موست. این آسیب معمولا در انتهای مو مشاهده می‌شود و نشانه‌ای از تخریب کوتیکول و کاهش رطوبت مو است. عواملی که باعث موخوره می‌شوند شامل:

  • شانه کردن و برس کشیدن خشن، به ویژه روی موهای خشک.
  • استفاده مکرر از اتوی مو، سشوار و سایر ابزارهای حرارتی.
  • تماس طولانی با آب داغ و مواد شیمیایی مانند رنگ مو و دکلره.
  • خشکی محیط و کمبود رطوبت در هوا که باعث از بین رفتن لایه محافظ کوتیکول می‌شود.

کاهش براقیت و درخشندگی مو

سطح کوتیکول سالم باعث انعکاس نور و درخشندگی طبیعی مو می‌شود. آسیب کوتیکول، خراشیدگی و باز شدن فلس‌های کوتیکول منجر به کدر شدن مو و کاهش انعکاس نور می‌شود. عواملی که باعث کاهش درخشندگی مو می‌شوند عبارتند از:

  • استفاده بیش از حد از محصولات شیمیایی مانند ژل، موس و اسپری‌ها.
  • قرار گرفتن مو در معرض اشعه UV و نور خورشید بدون محافظت.
  • تماس با آلودگی‌ها و ذرات معلق در هوا که به سطح مو می‌چسبند و باعث کاهش شفافیت آن می‌شوند.

ضعف و کاهش کشش مو

کورتکس مسئول انعطاف و کشش مو است و پیوندهای دی‌سولفیدی آن موجب مقاومت مو در برابر فشارهای مکانیکی می‌شوند. آسیب به این پیوندها باعث کاهش انعطاف‌پذیری و شکنندگی مو می‌شود. عوامل موثر در کاهش کشش مو عبارتند از:

بررسی کامل ساختار ساقه مو

  • رنگ و دکلره مکرر که باعث شکستن پیوندهای دی‌سولفیدی می‌شود.
  • استفاده طولانی‌مدت از حرارت بالا.
  • کشش بیش از حد مو هنگام شانه کردن یا بافتن.

تغییر رنگ و محو شدن رنگ طبیعی مو

ملانین موجود در کورتکس رنگ طبیعی مو را تعیین می‌کند. آسیب کوتیکول یا کورتکس، شستشوهای مکرر با مواد شوینده قوی، رنگ‌های شیمیایی و نور خورشید باعث کاهش رنگدانه‌ها می‌شود و مو کم‌رنگ، بی‌جان و کدر به نظر می‌رسد. به علاوه، استفاده از ترکیبات شیمیایی برای صاف یا فر کردن مو، می‌تواند ساختار ملانین و پروتئین مو را تغییر دهد و رنگ طبیعی مو را تحت تاثیر قرار دهد.

آسیب ناشی از عوامل محیطی و سبک زندگی

از مهم‌ترین آسیب‌های محیطی می‌توان به موارد زیر اشاره کرد:

  • آلودگی هوا: ذرات معلق و آلاینده‌ها می‌توانند به کوتیکول بچسبند و آن را تخریب کنند.
  • نور خورشید: UV باعث شکستن پیوندهای کراتین و اکسیداسیون ملانین می‌شود.
  • تغذیه نامناسب و کمبود ریزمغذی‌ها: کمبود پروتئین، ویتامین‌ها و مواد معدنی روی ساختار مو اثر مستقیم دارد.

راهکارهای مراقبت و پیشگیری از آسیب ساقه مو

با توجه به ساختار مو و عوامل آسیب‌رسان، پیشگیری نقش بسیار مهمی در حفظ سلامت ساقه مو دارد. راهکارهای موثر شامل ترکیبی از مراقبت‌های روزانه، انتخاب محصولات مناسب و تغییر عادات زیستی است.

آناتومی و ساختار مو

محافظت کوتیکول

  • استفاده از شامپوهای ملایم و نرم‌کننده‌هایی با پروتئین و روغن‌های طبیعی که فلس‌های کوتیکول را تقویت می‌کنند.
  • شستشوی مو با آب ولرم به جای آب داغ، چرا که حرارت بالا کوتیکول را باز می‌کند و مو را مستعد آسیب می‌سازد.
  • جلوگیری از شانه کردن موهای خیس که باعث کشش و خرد شدن کوتیکول می‌شود.

کاهش آسیب حرارتی

  • محدود کردن استفاده از سشوار، اتو و فرکننده‌های حرارتی.
  • استفاده از محصولات محافظ حرارتی قبل از اعمال گرما.
  • تنظیم دماهای متوسط و جلوگیری از تماس مستقیم ابزار داغ با مو.

مراقبت شیمیایی و بازسازی کراتین

  • کاهش دفعات رنگ، دکلره و صاف یا فر کردن شیمیایی.
  • استفاده از ماسک‌ها و سرم‌های حاوی کراتین و پروتئین برای بازسازی پیوندهای شکسته.
  • مصرف محصولات مخصوص موهای آسیب‌دیده برای بازگرداندن رطوبت و انعطاف‌پذیری.

مراقبت مکانیکی و شانه کردن

  • شانه کردن موها از پایین به بالا برای جلوگیری از کشش و گره خوردن.
  • استفاده از برس‌های نرم و دندانه‌های پهن به جای برس‌های فلزی یا سفت.
  • جلوگیری از بافت‌های بسیار محکم که فشار روی ساقه مو ایجاد می‌کنند.

محافظت در برابر عوامل محیطی و سبک زندگی سالم

  • استفاده از کلاه یا اسپری‌های حاوی UV هنگام قرار گرفتن طولانی در آفتاب.
  • شستشو و مراقبت از مو پس از تماس با آب کلردار یا آب دریا.
  • تغذیه مناسب با پروتئین، ویتامین‌ها و مواد معدنی مثل بیوتین، روی و آهن برای حفظ سلامت مو.
  • پرهیز از سیگار و استرس مزمن که می‌توانند با اثر اکسیداتیو به مو آسیب برسانند.

با اجرای این راهکارها، سلامت ساقه مو به طور قابل توجهی بهبود پیدا می‌کند و از طرفی دیگر، ریسک موخوره و شکنندگی کاهش یافته و موها ظاهر درخشان و مقاومت بیشتری پیدا خواهند کرد.

چگونه ساختار مو با سن تغییر می‌کند؟

ساختار مو در طول عمر انسان تغییرات قابل توجهی را تجربه می‌کند. این تغییرات ناشی از فرآیندهای طبیعی پیری، کاهش تولید هورمون‌ها، کاهش سنتز کراتین و تخریب پیوندهای شیمیایی در ساقه مو هستند.

آناتومی ریشه مو و پوست سر و ساقه مو

نازک شدن مو و کاهش تراکم

با افزایش سن، تعداد فولیکول‌های فعال کاهش پیدا می‌کند و برخی فولیکول‌ها وارد فاز استراحت می‌شوند. در نتیجه تراکم مو کم شده و موها نازک‌تر به نظر می‌رسند. همچنین قطر کورتکس کاهش یافته و انعطاف‌پذیری مو کاهش پیدا می‌کند. این فرآیند در مردان و زنان متفاوت بوده و در مردان معمولا با الگوی طاسی همراه است.

تغییر در رنگ مو

ملانوسیت‌ها، سلول‌های تولیدکننده رنگدانه ملانین در کورتکس، با گذر زمان فعالیت خود را کاهش می‌دهند. این امر باعث کاهش رنگ طبیعی مو و ظهور موهای سفید یا خاکستری می‌شود. ترکیب ملانین‌های اوملانین (سیاه یا قهوه‌ای) و فیوملانین (زرد یا قرمز) در طول زمان تغییر می‌کند و رنگ مو به تدریج روشن یا خاکستری می‌شود.

شکنندگی و کاهش کشش مو

با افزایش سن، پیوندهای دی‌سولفیدی و هیدروژنی در کورتکس کمتر می‌شوند. این مورد باعث شکنندگی، کاهش انعطاف‌پذیری و افزایش ریزش مو در اثر کشش یا شانه کردن می‌شود. کوتیکول نیز در اثر تخریب تدریجی نازک و آسیب‌پذیر می‌شود.

کاهش تولید روغن طبیعی و خشکی مو

غدد سباسه پوست سر با افزایش سن فعالیت کمتری دارند. کاهش تولید سبوم باعث خشکی ساقه مو و آسیب‌پذیری بیشتر کوتیکول می‌شود. این امر به خصوص در زنان پس از یائسگی شدت بیشتری پیدا می‌کند.

تغییرات جنس و بافت مو

برخی موها ممکن است به مرور زمان نازک‌تر، شکننده‌تر یا فرتر شوند. تغییر در شکل مقطع مو، ضخامت کوتیکول و تراکم کراتین باعث می‌شود مو انعطاف و براقیت اولیه خود را از دست بدهد.

ساختار مو و فناوری‌های بازسازی آن

با پیشرفت علم مو و محصولات مراقبتی، امروزه فناوری‌های متنوعی برای بازسازی ساقه مو و ترمیم آسیب‌ها توسعه یافته‌اند. این فناوری‌ها بر اساس دانش دقیق از ساختار کوتیکول، کورتکس و مدولا طراحی شده‌اند و هدفشان بازگرداندن استحکام، انعطاف و درخشندگی طبیعی موست.

بررسی جامع از ساختار تا ویژگی‌های مو

ماسک‌ها و سرم‌های پروتئینی و کراتینی

این محصولات با نفوذ به کوتیکول و جایگزینی کراتین از دست رفته در کورتکس، پیوندهای آسیب‌دیده را تقویت می‌کنند. کراتین هیدرولیز شده و پروتئین‌های کوچک می‌توانند به عمق ساقه مو نفوذ کرده و استحکام مو را بازسازی کنند.

فناوری‌های روغن‌های فعال و مواد ترمیم‌کننده کوتیکول

مواد مانند سیلیکون‌های سبک، روغن آرگان و کره شی به کوتیکول می‌چسبند و آن را ترمیم و صاف می‌کنند. این کار باعث کاهش تخلخل مو و افزایش براقیت و نرمی مو می‌شود.

درمان‌های تخصصی در کلینیک‌ها

در صورتی که نیاز به پروسه‌های درمانی تخصصی باشد، می‌توان از روش‌های زیر در کلینیک‌های تخصصی بهره‌برداری کرد:

  • کراتین درمانی حرفه‌ای: بازسازی پیوندهای دی‌سولفیدی با استفاده از کراتین خالص یا مشتقات آن.
  • پروتئین تراپی: نفوذ پروتئین‌های خاص به کورتکس برای افزایش مقاومت و کشش مو.
  • هیدراتاسیون حرفه‌ای: استفاده از مواد مرطوب‌کننده و بازسازی‌کننده برای کوتیکول آسیب‌دیده.

این فناوری‌ها می‌توانند آسیب ناشی از رنگ، دکلره، اتو و فرکننده‌ها را کاهش دهند و به بازسازی کوتیکول و کورتکس کمک کنند. استفاده منظم از این روش‌ها موجب افزایش طول عمر مو و کاهش موخوره و شکنندگی می‌شود.

آینده مراقبت مو: از نانوپروتئین تا بیوتکنولوژی

علم مراقبت مو به سرعت در حال پیشرفت است و تحقیقات جدید در زمینه نانوپروتئین‌ها و بیوتکنولوژی، آینده‌ای انقلابی برای سلامت و زیبایی مو نوید می‌دهند.

ساختار مو چگونه است؟

نانوپروتئین‌ها و نفوذ عمیق

نانوپروتئین‌ها ذرات بسیار ریز پروتئینی هستند که می‌توانند به عمق کوتیکول و کورتکس نفوذ کنند و ساختار داخلی مو را بازسازی کنند. این فناوری مزایای زیر را دارد:

  • بازسازی پیوندهای دی‌سولفیدی آسیب‌دیده.
  • افزایش مقاومت و انعطاف‌پذیری مو.
  • کاهش شکنندگی و موخوره.

درمان‌های ژنتیکی و سلولی

تحقیقات در زمینه ژنتیک مو و فولیکول‌ها نشان می‌دهد که می‌توان با تحریک ژن‌های مرتبط با تولید کراتین و ملانین، کیفیت ساقه مو را بهبود بخشید و فرآیند سفید شدن مو را به تاخیر انداخت.

بیوتکنولوژی و کشت سلولی مو

کشت سلول‌های فولیکول و کوتیکول در آزمایشگاه به دانشمندان امکان می‌دهد موهای سالم را در محیط کنترل‌شده بازسازی کنند. این روش می‌تواند راهکاری برای درمان ریزش مو و ترمیم موهای آسیب‌دیده در آینده باشد.

فناوری‌های ترکیبی مراقبت مو

ترکیب نانوپروتئین‌ها، عوامل رشد سلولی و درمان‌های بیوتکنولوژیک می‌تواند آسیب‌های ناشی از محیط، رنگ، حرارت و سن را به طور همزمان ترمیم کند و عملکرد ساقه مو را بازگرداند.

ساقه مو؛ راز سلامت، زیبایی و طول عمر موها

ساقه مو با وجود اینکه فاقد جریان خون و مواد مغذی مستقیم است، ساختاری فوق‌العاده پیچیده و هوشمندانه دارد که سلامت، استحکام و زیبایی موها را تضمین می‌کند. کوتیکول، کورتکس و مدولا هر کدام نقش‌های حیاتی را ایفا می‌کنند و تعامل دقیق این لایه‌ها تعیین‌کننده مقاومت، انعطاف، رنگ و درخشندگی مو هستند.

با افزایش سن، عوامل محیطی و سبک زندگی نادرست، ساقه مو دستخوش تغییراتی می‌شود؛ نازک‌تر و شکننده‌تر شده، درخشندگی خود را از دست می‌دهد و حتی رنگ طبیعی مو تحت تاثیر قرار می‌گیرد. شناخت دقیق این تغییرات به ما کمک می‌کند تا با مراقبت‌های علمی و اصولی از موها محافظت کنیم و از آسیب‌های رایج مانند موخوره، خشکی و شکنندگی پیشگیری کنیم.

فناوری‌های مدرن، از کراتین درمانی و ماسک‌های پروتئینی گرفته تا نانوپروتئین‌ها و روش‌های بیوتکنولوژیک، افق جدیدی را در بازسازی و تقویت ساقه مو ایجاد کرده‌اند. این فناوری‌ها نه تنها قادر به ترمیم آسیب‌های فعلی هستند، بلکه با تحریک ساخت پروتئین‌ها و بازسازی کوتیکول و کورتکس، کیفیت مو را از پایه بهبود می‌بخشند.

در نهایت، مراقبت اصولی از ساقه مو، انتخاب محصولات مناسب و بهره‌گیری از فناوری‌های نوین، کلید داشتن موهایی سالم، درخشان و مقاوم در طول زندگی است. شناخت علمی ساختار ساقه مو و رفتار آن در برابر آسیب‌ها، به هر فرد امکان می‌دهد راهکارهای پیشگیری و درمان موثری را به کار گرفته و موهای خود را به بهترین شکل ممکن حفظ کند.

 

منبع: philipkingsley albaniahairclinic