با کمک چشمهایمان میتوانیم زندگی را آنطور که باید تماشا کنیم اما وقتی عدسی موجود در چشم که کاملا شفاف است به تدریج کدر میشود، دنیا هم انگار در مه فرو میرود. این همان وضعیتی است که به آن آب مروارید یا کاتاراکت (Cataract) میگویند. آب مروارید یکی از شایعترین علل کاهش بینایی در سراسر جهان است، به ویژه در سنین بالاتر. بسیاری از افراد آن را بخشی از روند طبیعی پیری میدانند، اما حقیقت این است که دلایل متعددی از جمله دیابت، ضربه به چشم، داروهای خاص یا حتی قرار گرفتن طولانیمدت در معرض نور خورشید میتوانند در شکلگیری آن نقش داشته باشند.
آنچه شاید جالب باشد این است که آب مروارید برخلاف بسیاری از بیماریهای چشمی، به آرامی و بدون درد ایجاد میشود و فرد معمولا تا مدتها متوجه آن نیست. ابتدا همه چیز کمی تار به نظر میرسد، سپس رنگها کمرنگتر میشوند و در نهایت ممکن است فرد احساس کند همیشه از پشت یک شیشه بخارگرفته به جهان نگاه میکند. در این مقاله به طور کامل بررسی میکنیم که آب مروارید چیست، چه علائمی دارد، چه عواملی باعث بروز آن میشوند و چه روشهایی برای درمان و پیشگیری از آن وجود دارد. همچنین خواهیم دید که پیشرفتهای پزشکی چگونه با استفاده از جراحیهای دقیق و لنزهای مصنوعی، امید به بازگشت دید طبیعی را برای میلیونها نفر در سراسر دنیا فراهم کردهاند.
آب مروارید (کاتاراکت) چیست؟
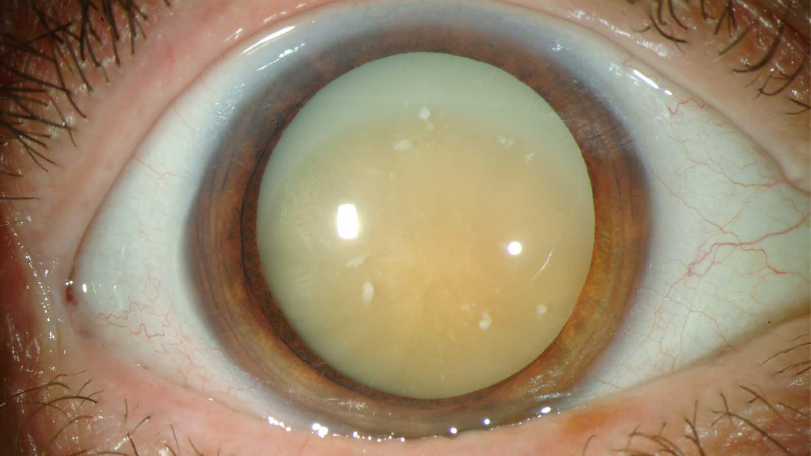
آب مروارید یا کاتاراکت (Cataract) یکی از شایعترین بیماریهای چشمی به شمار میرود که در آن، عدسی طبیعی چشم (Lens) شفافیت خود را از دست میدهد و به تدریج کدر میشود. عدسی در حالت طبیعی همانند یک شیشه کریستالی شفاف عمل میکند و نور را به صورت دقیق روی شبکیه متمرکز میسازد تا تصویر واضحی از محیط اطراف در مغز شکل بگیرد. هنگامی که ساختار شیمیایی و فیزیکی عدسی تغییر میکند، نور دیگر به درستی از آن عبور نمیکند و در نتیجه تصویر مبهم یا تار دیده میشود. این تاری دید و وضعیت همان چیزی است که پزشکان آن را آب مروارید مینامند؛ پدیدهای که با علائم خشکی چشم و صد البته بیماری آب سیاه متفاوت است.
از نظر علمی، این بیماری در اثر تغییر و تخریب تدریجی پروتئینهای موجود در عدسی چشم به وجود میآید. این پروتئینها که به طور طبیعی درون عدسی مرتب و منظم قرار گرفتهاند، باعث شفافیت آن میشوند. اما با گذشت زمان یا به دلیل عوامل محیطی و ژنتیکی، ساختار این پروتئینها دچار اختلال میشود و تودههای کدر درون عدسی تشکیل میگردد. این تجمعهای کوچک ابتدا ممکن است تاثیر محسوسی بر بینایی نگذارند، اما با بزرگتر شدن آنها، مسیر عبور نور را مسدود میکنند و وضوح دید کاهش پیدا میکند.

آب مروارید را نباید با لایهای سطحی روی چشم اشتباه گرفت؛ بلکه درون ساختار عدسی اتفاق میافتد و معمولا در پشت عنبیه (قسمت رنگی چشم) و جلوی شبکیه قرار دارد. این کدورت ممکن است در بخشهای مختلف عدسی رخ دهد و شدت و محل آن تعیین میکند که بینایی تا چه اندازه تحت تاثیر قرار بگیرد. این بیماری بیشتر در افراد میانسال و سالمند دیده میشود، اما میتواند در هر سنی، حتی در نوزادان (کاتاراکت مادرزادی) یا به دنبال آسیبهای چشمی و مصرف برخی داروها نیز بروز کند.
این اختلال چشمی فرایندی است که در بیشتر موارد به آرامی و تدریجی پیشرفت میکند و اگر درمان نشود، ممکن است در نهایت منجر به کاهش شدید بینایی یا نابینایی شود. به زبان ساده، این بیماری را میتوان «کدر شدن عدسی چشم» دانست که باعث میشود جهان پیرامون از پشت پردهای خاکستری یا بخارگرفته دیده شود.
علائم آب مروارید چشم
در مرحلهای که کاتاراکت شروع به اثرگذاری میکند، معمولا فرد متوجه تغییرات بینایی میشود؛ این علائم به صورت تدریجی ظاهر میشوند و میتوانند در زندگی روزمره، خصوصا هنگام خواندن، رانندگی یا دیدن چهره افراد، مزاحم شوند. علائم شایع عبارتند از:
- تاری یا کدورت دید؛ احساس این که انگار از پشت پنجرهای مهگرفته نگاه میکنید.
- دید کمرنگ یا رنگها که دیگر آنقدر زنده به نظر نمیرسند؛ رنگها ممکن است محو یا زرد رنگ شوند.
- حساسیت به نور و خیرگی؛ مثلا نور خورشید، چراغهای خودرو یا لامپهای روشن ممکن است آزاردهنده شوند و هاله یا پرتوی نور اطراف آنها دیده شود.
- مشکل در دید شبانه یا هنگام رانندگی در تاریکی؛ دید در نور کم ممکن است خیلی کاهش پیدا کند.
- نیاز مکرر به اصلاح نمره عینک یا لنزها (تغییر سریع تجویز)؛ چون بینایی به سرعت متغیر میشود.
- دو تایی شدن تصویر (در یک چشم)؛ یعنی در یکی از چشمها، ممکن است تصویر به طرز غیرمنتظرهای دو تایی شده به نظر برسد.
- نیاز به روشنایی بیشتر برای خواندن یا انجام کارهای ظریف؛ مثلا نور بیشتری لازم دارید تا بتوانید مطالعه کنید یا با دقت کار دستی انجام دهید.
علت آب مروارید چشم
علت بروز کاتاراکت به صورت کلی ناشی از تغییرات ساختاری عدسی چشم است. عوامل زیر در این تغییرات دخالت دارند:

- با افزایش سن، پروتئینها و فیبرهای عدسی چشم دچار تغییر و تجزیه میشوند. نتیجه این است که عدسی شفافیت خود را از دست میدهد و نقاط مبهمی درون آن شکل میگیرد.
- آسیبهای محیطی یا فاکتورهای خارجی مثل قرارگیری طولانیمدت در معرض نور ماورا بنفش (UV)، دود سیگار، الکل یا مواد شیمیایی میتوانند تشکیل عدسی کدر را تسریع کنند.
- بیماریهای زمینهای مانند دیابت نوع ۲ یا سابقه جراحی چشم و استفاده طولانیمدت از داروهایی مثل کورتیکوستروئیدها ریسک ابتلا را بالا میبرند.
- برخی از انواع آب مروارید در کودکان دیده میشوند (کاتاراکت مادرزادی) که ممکن است به علت وراثت، عفونت در رحم یا آسیب چشم در مراحل اولیه باشد.
- در برخی موارد، آسیب مستقیم به چشم (مثل ضربه)، دوره پرتودرمانی یا قرارگیری در معرض تابشهای شدید نیز میتواند منجر به شکلگیری آب مروارید شود.
در یک نگاه، اگر بخواهیم به زبان ساده بگوییم: عدسی چشم در حالت طبیعی مانند یک شیشه کاملا شفاف عمل میکند، اما با گذشت زمان و تحت تاثیر ترکیب پیر شدن، فشارهای محیطی و در برخی افراد عوامل ژنتیکی یا بیماریها، این شفافیت از بین میرود و عدسی تار میشود؛ یعنی همان اتفاقی که در آب مروارید رخ میدهد.
انواع آب مروارید
در این بخش، به دستهبندیهای اصلی کاتاراکت و تفاوتهای هر نوع میپردازیم تا درک بهتری از این بیماری داشته باشید. انواع اصلی این اختلال چشمی را میتوان از چند جنبه بررسی کرد:

بر پایه زمان بروز و عامل ایجاد
- کاتاراکت مرتبط با افزایش سن (Age‑related cataract): رایجترین نوع است که به مرور زمان و با پیر شدن عدسی چشم شکل میگیرد.
- کاتاراکت مادرزادی یا کودکی (Congenital/Pediatric cataract): برخی از نوزادان با آن متولد میشوند یا در دوران کودکی دچار میشوند؛ ممکن است به دلیل عوامل ژنتیکی، عفونت در دوران جنینی یا آسیب چشم باشد.
- آب مروارید ناشی از آسیب یا بیماری دیگر (Secondary/Traumatic cataract): شامل حالاتی که پس از جراحی چشم، آسیب چشم یا بیماریهای زمینهای مانند دیابت یا استفاده بلندمدت از داروهایی مثل کورتیکوستروئیدها ایجاد میشوند.
بر پایه محل تشکیل کدورت در عدسی چشم
در نوع «مرتبط با سن»، عدسی به صورت لایهای شامل هسته (nucleus)، قشر (cortex) و کپسول قرار دارد و محل شکلگیری کدورت، نوع آب مروارید را مشخص میکند.
- کاتاراکت هستهای: این نوع در مرکز عدسی (هسته) شکل میگیرد و در ابتدا ممکن است دید از نزدیک بهتر شود، اما به تدریج دید دور و تشخیص رنگها را مختل میکند.
- کاتاراکت قشری: این نوع از لبههای عدسی (قشر) شروع شده و به سمت مرکز پیش میرود؛ ممکن است به صورت خطوط یا شکافهایی سفیدرنگ دیده شود.
- کاتاراکت خلفی زیرکپسولی: این نوع در قسمت پشت عدسی و درست زیر کپسول آن رخ میدهد؛ به دلیل قرار گرفتن در مسیر نور، سرعت پیشرفت بیشتری دارد و دید شبانه یا خواندن را بیشتر تحت تاثیر قرار میدهد.
لازم به ذکر است که امکان دارد یک فرد، همزمان بیش از یک نوع داشته باشد؛ مثلا هم هستهای و هم خلفی زیرکپسولی. هر نوع، پیشرفت مخصوص به خود دارد؛ مثلا نوع خلفی زیرکپسولی ممکن است نسبت به مدل هستهای سریعتر پیش برود.
همچنین باید به این موضوع نیز خاطرنشان کرد که در کودکان، تشخیص زودهنگام به شدت اهمیت دارد؛ چرا که امکان دارد کاتاراکت منجر به عارضههایی مانند تنبلی چشم شود.
نحوه تشخیص آب مروارید
برای تشخیص دقیق آب مروارید، چشمپزشک از ترکیبی از معاینههای تخصصی، ارزیابی بینایی و عکسبرداریهای ویژه استفاده میکند تا علاوه بر تشخیص، نوع و میزان پیشرفت آن را مشخص کند. در ادامه مهمترین روشها را مرور میکنیم:

- تست تیزبینی (Visual Acuity Test): ابتدا چشمپزشک میسنجد که با عینک یا بدون آن، چه تعداد از حروف جدول ردیف را میتوانید بخوانید؛ به این ترتیب میزان کاهش بینایی تعیین میشود.
- پراکندگی نور و ارزیابی عدسی با لامپ اسلیت (Slit‑Lamp Examination): در این روش با استفاده از میکروسکوپ ویژه و نور متمرکز، ساختار جلویی و پسعدسی چشم (از جمله عدسی) به صورت بزرگنماییشده بررسی میشود تا محل، اندازه و شدت کدورتها مشاهده شود.
- وسیعکردن مردمک و بررسی شبکیه (Dilated Eye Exam): با قطرههای خاص، مردمک چشم باز میشود تا عدسی و شبکیه به طور کامل قابل مشاهده باشند؛ چشمپزشک وضعیت عدسی را از پشت میبیند و سایر علل کاهش بینایی را نیز رد میکند.
- اندازهگیری فشار داخل چشم (Tonometry) و بررسی کامل چشم: اگر چه این تست مخصوص آب مروارید نیست، به منظور بررسی بیماریهای همراه مانند گلوکوم یا سایر مشکلات چشم انجام میشود که ممکن است همزمان با آب مروارید وجود داشته باشند.
- مقایسه با معاینههای قبلی و ارزیابی پیشرفت: از آنجا که آب مروارید معمولا به صورت تدریجی پیشرفت میکند، مقایسهی نتایج چشمپیشین با وضعیت فعلی کمک میکند تا تصمیم برای درمان (مثلا جراحی) به موقع اتخاذ شود.
آیا آب مروارید چشم خطرناک است؟
آب مروارید یا کاتاراکت معمولا به عنوان یک تغییر طبیعی چشم در سنین بالا در نظر گرفته میشود، اما این بیماری در صورت پیشرفت میتواند خطرناک باشد. با کدر شدن تدریجی عدسی چشم، نور دیگر به سادگی از آن عبور نمیکند و تصویر مبهم یا تار دیده میشود، به طوری که فرد احساس میکند از پشت یک شیشه به دنیا نگاه میکند.
اگر این کاهش بینایی ادامهدار باشد، انجام فعالیتهای روزمره مانند خواندن، رانندگی یا تشخیص چهرهها دشوار میشود و کیفیت زندگی به شدت افت میکند. در مراحل پیشرفته، آب مروارید میتواند به کاهش شدید بینایی یا حتی نابینایی منجر شود، به ویژه در مناطقی که دسترسی به جراحی محدود است. با این که جراحی کاتاراکت یکی از ایمنترین عملهای چشمی به شمار میرود، حتی این پروسه نیز کاملا بدون ریسک نیست و احتمال عوارضی مانند عفونت، خونریزی یا جداشدگی شبکیه وجود دارد. به همین دلیل، تشخیص زودهنگام و مراجعه به چشمپزشک اهمیت زیادی دارد. کاهش ناگهانی بینایی، درد شدید، قرمزی چشم یا دیدن نورهای چشمکزن از نشانههایی هستند که نیازمند توجه فوری هستند و نباید نادیده گرفته شوند.
درمان آب مروارید
درمان بیماری آب مروارید عمدتا بر پایهی جراحی است، اما بسته به وضعیت فرد، راهکارهای محافظهکارانه نیز در مراحل اولیه مطرح میشوند. در ادامه، روند درمان از ابتدا تا انتها شرح داده شده است.

اصلاح نمره عینک یا لنز
در مراحل ابتدایی، زمانی که کدورت عدسی چشم هنوز به حدی نرسیده که فعالیتهای روزمره را مختل کند، پزشک ممکن است پیشنهاد دهد که با اصلاح نمره عینک یا لنز، استفاده از نور بهتر برای مطالعه و محافظت از چشم در برابر تابش UV روند پیشرفت را تا حدی کند کنید. این روشها باعث نمیشوند عدسی دوباره شفاف شود، بلکه هدف، بهبود کیفیت بینایی و به تاخیر انداختن زمان جراحی است.
جراحی فیکو
وقتی که بیماری به حدی برسد که دید شما را به شدت تحت تاثیر قرار دهد – به ویژه در فعالیتهایی مثل رانندگی، خواندن یا تشخیص چهرهها – معمولا توصیه میشود که جراحی برداشت عدسی کدر و جایگذاری عدسی مصنوعی انجام شود. این روش هم اکنون مهمترین روش درمان آب مروارید در بزرگسالان است. در جراحی، معمولا از روش «فاکوامولسیفیکاسیون (Phacoemulsification)» یا به اختصار فِیکو استفاده میشود؛ در این روش، با امواج اولتراسوند عدسی کدر خرد میشود و سپس قسمتهای آن خارج شده و عدسی مصنوعی (IOL: Intraocular Lens) در محل آن قرار میگیرد.
پس از عمل، فرد ممکن است در همان روز یا روز بعد مرخص شود و معمولا طی چند روز تا هفتهها دید بهبود پیدا میکند. البته مدت کامل بهبودی ممکن است چند هفته تا چند ماه طول بکشد، مخصوصا اگر شرایط چشم یا بیمار زمینهای وجود داشته باشد.
مزیت عمده عمل فیکو آن است که موفقیتش بسیار بالا است و اکثر بیماران پس از جراحی، دیدشان به طور چشمگیری بهبود پیدا میکند. اکثر بیماران پس از این جراحی تغییرات مثبت را تجربه میکنند.
چه زمانی باید آب مروارید را عمل کرد؟
تصمیم برای جراحی آب مروارید بر اساس شدت کدورت عدسی و تاثیر آن بر زندگی روزمره بیمار گرفته میشود و الزاما به سن یا مرحله پیشرفت بیماری محدود نمیشود. اگر بینایی به گونهای کاهش یافته باشد که فعالیتهای روزمره مانند رانندگی، مطالعه، کار با صفحهنمایش یا تشخیص چهرهها مختل شود، چشمپزشک معمولا جراحی را توصیه میکند.

همچنین در شرایطی که آب مروارید به سرعت پیشرفت کند یا با سایر مشکلات چشم مانند گلوکوم یا دیابت همراه باشد، انجام جراحی زودهنگام ممکن است ضروری باشد تا از عوارض طولانیمدت جلوگیری شود. بعضی بیماران ممکن است حتی وقتی علائم اولیه دارند، ترجیح دهند جراحی را به تعویق نیندازند، به ویژه اگر شغل یا سبک زندگیشان نیازمند دید دقیق باشد.
به بیان ساده، زمان مناسب جراحی زمانی است که آب مروارید کیفیت زندگی را کاهش دهد یا خطر عوارض ثانویه ایجاد کند. در این حالت، تاخیر در جراحی فقط باعث پیشرفت کدورت و سختتر شدن عمل میشود، در حالی که انجام به موقع آن معمولا با موفقیت بالا و بهبود چشمگیر بینایی همراه است.
عمل جراحی آب مروارید
همانطور که پیشتر در بخش درمان اشاره شد، روش اصلی رفع آب مروارید، جراحی است و معمولترین تکنیک مورد استفاده، فاکوامولسیفیکاسیون (Phacoemulsification) میباشد. این روش امروزه استاندارد طلایی جراحی آب مروارید است و در آن عدسی کدر با امواج اولتراسوند خرد و خارج میشود و یک عدسی مصنوعی (IOL) جایگزین آن میشود.
عمل جراحی آب مروارید معمولا تحت بیحسی موضعی انجام میشود و بیشتر بیماران همان روز یا روز بعد مرخص میشوند. برخلاف آنچه ممکن است برخی تصور کنند، انجام جراحی پیش از آنکه بینایی به شدت کاهش یابد، نه تنها ریسک را پایین میآورد بلکه روند بهبود پس از عمل را نیز سریعتر و راحتتر میکند.
مزیت اصلی این روش آن است که علاوه بر حذف کدورت، امکان انتخاب عدسیهای مصنوعی با ویژگیهای خاص نیز وجود دارد؛ به عنوان مثال عدسیهای چندکانونی یا عدسیهای ضد انعکاس، که کیفیت دید نزدیک و دور را بهبود میبخشند و نیاز به عینک بعد از عمل را کاهش میدهند.
هزینه عمل آب مروارید
با بررسیهایی که صورت گرفته، هزینه عمل جراحی آب مروارید (کاتاراکت) در ایران در سال ۱۴۰۴ به طور کلی بین حدود ۱۰ تا ۲۰ میلیون تومان برای یک چشم است (بسته به روش، لنز به کاررفته، کلینیک یا بیمارستان و اینکه آیا فرد بیمه دارد یا خیر).
در مراکز خصوصی با استفاده از لنزهای خاص یا روشهای پیشرفته، رقم ممکن است بیشتر از ۲۰ میلیون تومان نیز باشد و در مراکز با پوشش بیمه کامل یا مراکز دولتی، این رقم ممکن است به طور قابل توجهی کمتر شود.
عوارض عمل جراحی آب مروارید چشم
جراحی کاتاراکت امروزه یکی از ایمنترین عملهای چشمپزشکی به شمار میآید، اما همچنان خطری جزئی از عوارض و مخاطرات دارد که آگاهی از آنها برای بیمار و پزشک اهمیت دارد. در ادامه، مهمترین عوارض این نوع عمل جراحی ارائه میشوند. انواع عوارض را میتوان به «در حین جراحی»، «بلافاصله پس از جراحی» و «دوران میانمدت تا بلندمدت» تقسیم کرد:

- در حین جراحی: ممکن است پارگی کپسول خلفی عدسی رخ دهد یا قطعات عدسی عقب به زجاجیه وارد شوند، هر چند شیوع این موارد بسیار پایین است.
- بلافاصله پس از جراحی: امکان خونریزی یا تورم بخش جلوی چشم، درد غیرمعمول، حرکت عدسی مصنوعی (IOL) از محل خود یا عفونت وجود دارد.
- در دوران میانمدت تا بلندمدت: یکی از شایعترین عوارض، کدورت کپسول خلفی (یا آبمروارید ثانویه) است که امکان دارد ماهها یا سالها بعد بروز کند و باعث کاهش دید شود. همچنین، جداشدگی شبکیه، جابهجایی عدسی مصنوعی، کاهش دید دائمی یا ایجاد هاله در اطراف نور نیز ذکر شدهاند.
همانطور که پیشتر اشاره شد، شیوع این عوارض بسیار محدود است. البته وجود بیماریهای زمینهای مانند دیابت، مشکلات شبکیه یا سابقه جراحیهای چشم میتواند ریسک وقوع عوارض را افزایش دهد. به طور کلی، بروز عوارض به معنای لزوما بد شدن نتیجه نیست؛ بسیاری از این مشکلات قابل کنترل هستند و با درمان مناسب دید بهبود پیدا میکنند؛ برای مثال، در مورد کدورت کپسول خلفی، با لیزر میتوان آن را رفع کرد.
آب مروارید از چه سنی شروع میشود؟
قبلا هم به این نکته اشاره کردهایم که در هر سنی ممکن است این اختلال به وجود آید اما به طور کلی، میتوان به موارد زیر اشاره کرد:
آب مروارید در نوزادان
در برخی نوزادان ممکن است آب مروارید از بدو تولد یا طی ماههای اولیه زندگی مشاهده شود؛ این نوع را «کاتاراکت مادرزادی» مینامند. وقتی عدسی چشم نوزاد کدر شود، تصویر واضح به شبکیه نمیرسد و در نتیجه مسیر بینایی و رشد بصری کودک میتواند با اختلال جدی مواجه شود. در منابع معتبر گفته میشود که در این موارد، جراحی میتواند حتی طی هفتههای اول پس از تشخیص انجام شود تا مانع ایجاد «تنبلی چشم» (آمبلیوپیا) شود.
آب مروارید در کودکان
در کودکان بزرگتر از نوزاد، آب مروارید ممکن است به دلایلی مانند ژنتیک، ضربه به چشم، عفونت یا بیماریهای سیستمیک ایجاد شود. تشخیص به موقع در این سناریو اهمیت زیادی دارد، چون حتی اگر بینایی تا حدی شکل گرفته باشد، عدم درمان میتواند باعث کاهش عملکرد دیدی یا آمبلیوپیا شود.

آب مروارید در جوانی
هرچند رایجترین شکل آب مروارید مربوط به افراد مسن است، افراد جوانتر نیز ممکن است تحت تاثیر قرار بگیرند. عوامل ژنتیکی، استفاده بلندمدت از داروهایی مانند کورتیکوستروئید، بیماریهایی مانند دیابت یا نور UV شدید میتوانند باعث شکلگیری عدسی کدر در سنین پایینتر شوند. این موضوع نشان میدهد که هر چند «بعد از ۴۰ یا ۵۰ سالگی» شایعتر است، ولی سابق سالمند بودن تنها شرط مورد نیاز نیست.
آب مروارید مادرزادی در بزرگسالان
آب مروارید مادرزادی معمولا از بدو تولد وجود دارد، اما در برخی افراد ممکن است تا بزرگسالی تشخیص داده نشود. در این موارد، کدورت عدسی معمولا جزئی بوده و بینایی فرد در دوران کودکی به طور قابل توجهی تحت تاثیر قرار نگرفته است، بنابراین علائم شدید تا بزرگسالی خود را نشان نمیدهند.
با گذشت زمان و افزایش سن، این کدورت ممکن است پیشرفت کند و دید را کاهش دهد، در نتیجه فرد در بزرگسالی نیاز به ارزیابی و جراحی آب مروارید پیدا میکند. چنین مواردی نشان میدهند که حتی آب مروارید با منشا مادرزادی، لزوما محدود به دوران نوزادی یا کودکی نیست و میتواند در سنین بالاتر نیز مشکلساز شود.
تفاوت آب سیاه و آب مروارید
آب مروارید و آب سیاه دو بیماری شایع چشم هستند که ممکن است در ابتدا شبیه به هم به نظر برسند، اما تفاوتهای اساسی دارند. آب مروارید زمانی رخ میدهد که عدسی داخل چشم به تدریج کدر میشود و نور بهدرستی به شبکیه نمیرسد، در نتیجه بینایی کاهش پیدا میکند. این مشکل عمدتا قابل درمان بوده و با جراحی میتوان عدسی کدر را با یک عدسی مصنوعی جایگزین کرد و دید طبیعی بازگردانده شود.
در مقابل، آب سیاه یا گلوکُما ناشی از افزایش فشار داخل چشم یا آسیب به عصب بینایی است. در این بیماری عدسی سالم باقی میماند، اما نور و تصویر به درستی به مغز منتقل نمیشوند. کاهش بینایی در آب سیاه ممکن است به آرامی پیش برود و اغلب تا زمانی که آسیب جدی رخ نداده، علائم واضحی ندارد. برخلاف آب مروارید، آسیبهای آب سیاه ممکن است دائمی باشند و درمان عمدتا با کاهش فشار چشم از طریق دارو، لیزر یا جراحی انجام میشود تا از پیشرفت بیماری جلوگیری شود. به همین دلیل، تشخیص دقیق توسط چشمپزشک اهمیت زیادی دارد تا بتوان هر دو بیماری را به موقع شناسایی و درمان کرد.
پیشگیری از آب مروارید
روند پیدایش آب مروارید اغلب بخشی از فرآیند طبیعی پیری عدسی چشم است، اما با استفاده از برخی روشهای ساده و موثر میتوان پیشرفت آن را به تاخیر انداخت یا بروز زودرس آن را کاهش داد. طبق مطالب منتشر شده در منابع علمی میتوان روشهای زیر را تاثیرگذار خطاب کرد:

ابتدا از قرارگیری طولانی و بدون محافظت در معرض تابش فرابنفش (UV) خودداری شود؛ استفاده از عینک آفتابی با پوشش کامل UV و کلاه لبه دار میتواند از ورود اشعه مضر به داخل چشم جلوگیری کند و روند کدورت عدسی را کند کند.
همچنین، ترک سیگار یکی از اقدامات مهم محسوب میشود؛ چرا که مصرف دخانیات با افزایش چشمگیر خطر آب مروارید همراه است. علاوه بر این، معاینات منظم چشم و کنترل دقیق بیماریهای زمینهای مانند دیابت بسیار اهمیت دارد؛ به این دلیل که این شرایط میتوانند روند تشکیل آب مروارید را تسریع کنند.
در واقع، با رعایت سبک زندگی سالم، محافظت از چشم در برابر نور، و پیگیری چشمپزشکی منظم میتوان احتمال بروز و شدت آب مروارید را کاهش داد یا دستکم زمان بروز آن را به تعویق انداخت.
چه زمانی به پزشک مراجعه کنیم؟
آب مروارید معمولا به تدریج پیشرفت میکند و در ابتدا ممکن است تغییر بینایی خفیف باشد، اما شناخت نشانههای هشداردهنده اهمیت زیادی دارد. زمانی باید به چشمپزشک مراجعه کرد که کاهش دید مانع انجام فعالیتهای روزمره شود، مانند رانندگی، مطالعه یا کار با کامپیوتر. همچنین بروز تاری ناگهانی، هالهدید، حساسیت شدید به نور یا احساس دیدن از پشت شیشهای کدر، نشانههایی هستند که نباید نادیده گرفته شوند.
مراجعه زودهنگام به پزشک امکان بررسی دقیق و برنامهریزی درمانی مناسب، از جمله جراحی در زمان مناسب، را فراهم میکند و میتواند از کاهش شدید بینایی و عوارض احتمالی جلوگیری کند. معاینات منظم چشم، به ویژه پس از ۴۰ سالگی یا در حضور عوامل پرخطر مانند دیابت و سابقه خانوادگی، کلید پیشگیری و کنترل موفقیتآمیز آب مروارید است. با رعایت این نکات، میتوان دید خود را حفظ کرد و کیفیت زندگی را در سنین بالا ارتقا داد.
منبع: clevelandclinic – mayoclinic – medparkhospital